矯正歯科専門 東京都渋谷区神宮前(表参道、原宿) - 院内感染予防のために使い捨ての器具や滅菌など万全な体制で対応しております。
杉山矯正歯科

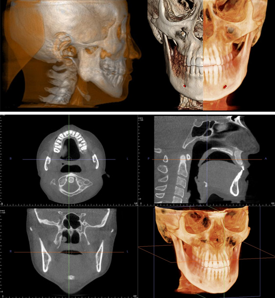
デジタル矯正システム

3Dデータ利用による、デジタル矯正治療システム


従来の矯正治療では、主に歯冠の並びを考慮して計画されていましたが、3Dデジタル矯正治療では、これまで把握できなかった歯根と歯槽骨の位置関係も含めて理想的な位置になるよう安全な治療計画が立案されます。

表側から確認しにくい舌側方向からの咬合状態も、しっかりしたかみ合わせをつくります。

歯と歯根の CTスライス情報から、理想的な治療後の位置関係を決定していきます。

3Dデジタルデータから治療後の理想的な歯と歯根の位置をシュミレーション決定して、その場所に正確に歯と歯根が移動するようにロボットが極めて精密なワイヤーを作製します。このワイヤーの使用により、治療結果のクオリティが向上して、かつ治療期間が平均で25%減少するというデータが報告されています。

3D画像を用いてさらにわかりやすい説明

患者さんに安心して治療を受けていただけるように、3D画像を用いてさらにわかりやすい説明を行います。

3D画像


矯正歯科のカウンセリングは無料です。
様々な治療方法や費用・期間などを、疑問や不安にお答えしながらご案内させていただきます。

医院にて: お電話(03-5411-4450) または 予約システムをご利用ください
メールにて: 以下のフォームからお気軽にお問い合わせください

ご意見・お問い合わせなんでも結構です。
当院で矯正歯科の治療をしている方もご意見をいただけますようお願い申し上げます。
ご質問・ご相談
ご意見・ご要望 (現在当院で矯正治療中の患者様。無記名でもOKです)
通信欄
メール
TEL
お名前
ご住所
ご連絡方法 メール  電話


診療時間(木・日・祝日 休診)
10:00 〜 13:00××
14:30 〜 18:30
(土 14:00 〜18:00)
××


Copyright © 歯列矯正専門 医療法人社団矯晶会 杉山矯正歯科医院 〒150-0001 東京都渋谷区神宮前4-16-3 TEL 03-5411-4450